顯微根管治療

顯微鏡所提供的高倍率視野,讓根管治療更有效率。使用牙科顯微鏡進行根管治療,醫師可以更精確找到難以發現的根管與辨認根管系統的狀況。

顯微鏡根管治療
牙科顯微鏡

操作型牙科顯微鏡是困難根管治療的關鍵利器!

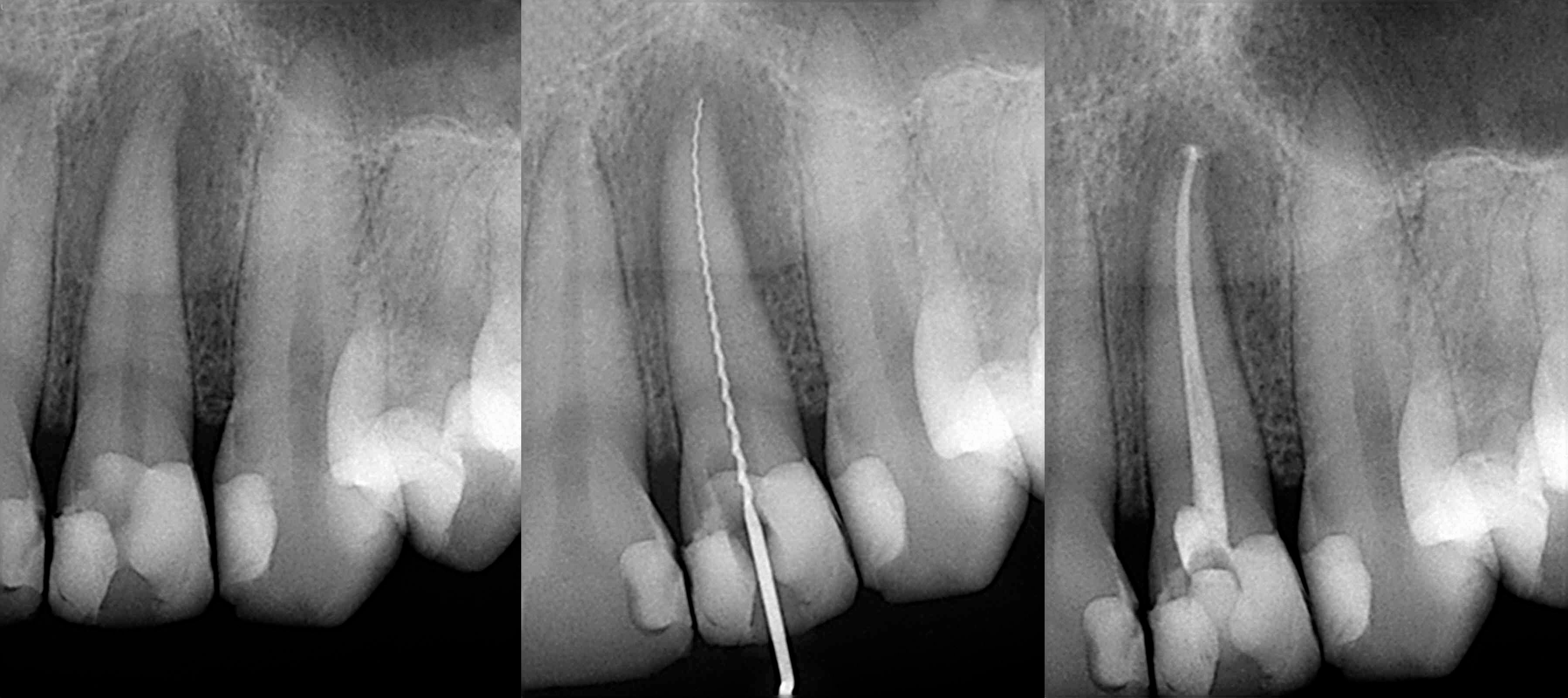
傳統根管治療只能依靠牙醫師的肉眼或手感,但若遇到堵塞、狹窄鈣化、穿孔分岔、帶狀根管等特殊狀況時,傳統根管治療很難做到理想的治療效果。

 

使用牙科專用顯微鏡可提高困難根管治療的成功率,因為牙醫師用放大 20 倍以上顯微鏡較易辨認肉眼無法找到的根管、齒壁上的小裂痕或斷裂的器械;顯微鏡結合超音波振盪沖洗可將複雜彎曲的根管系統做更透徹的消毒,降低根管中殘留細菌的機會。

顯微根管治療

顯微根管主要治療項目有哪些?

  • 鈣化根管
  • 移除牙釘或斷裂器械
  • 牙根尖囊腫手術
  • 修補根管破洞
  • 尋找變異隱藏根管
根管治療流程

顯微根管治療流程

  • 施打局部麻藥與置放牙齒隔離障
  • 清除蛀牙與填補物,打開髓腔
  • 顯微鏡下擴大根管與超音波沖洗
  • 完成根管系統清洗後封填
  • 製作贋復物:牙冠、牙套、嵌體、補牙
顯微根管治療

顯微根管治療注意事項

  • 根管治療需要多次療程,請預留診療時間
  • 治療後的牙齒因結構不完全,建議盡快做牙套保護,避免細菌再次感染清潔乾淨的根管系統或牙齒裂掉
  • 根管治療後症狀仍未改善,請與醫師討論是否做手術性治療或植牙

打造從開始,美學為終點的療程體驗