隱適美矯正+止鼾牙套:睡眠呼吸中止症
我的故事
一開始來看診其實很單純,就是因為家人會抱怨我有打呼的問題,而我自己也覺得睡眠品質不夠理想。原本以為只需要做止鼾牙套就好,但醫師在完整評估後指出:我的咬合關係與牙弓型態,使口腔空間相對不足,連帶影響舌頭擺位與呼吸道寬度。換句話說,問題不只是聲音,而是結構。如果直接製作止鼾牙套,雖然能改善症狀,但長期穩定度有限,因此建議先進行隱適美矯正,優化咬合與牙弓空間,再製作止鼾牙套。矯正完成後,再依新的咬合位置客製 MAD。配戴後呼吸更順暢,白天精神明顯提升,效果也比單純使用裝置更穩定。
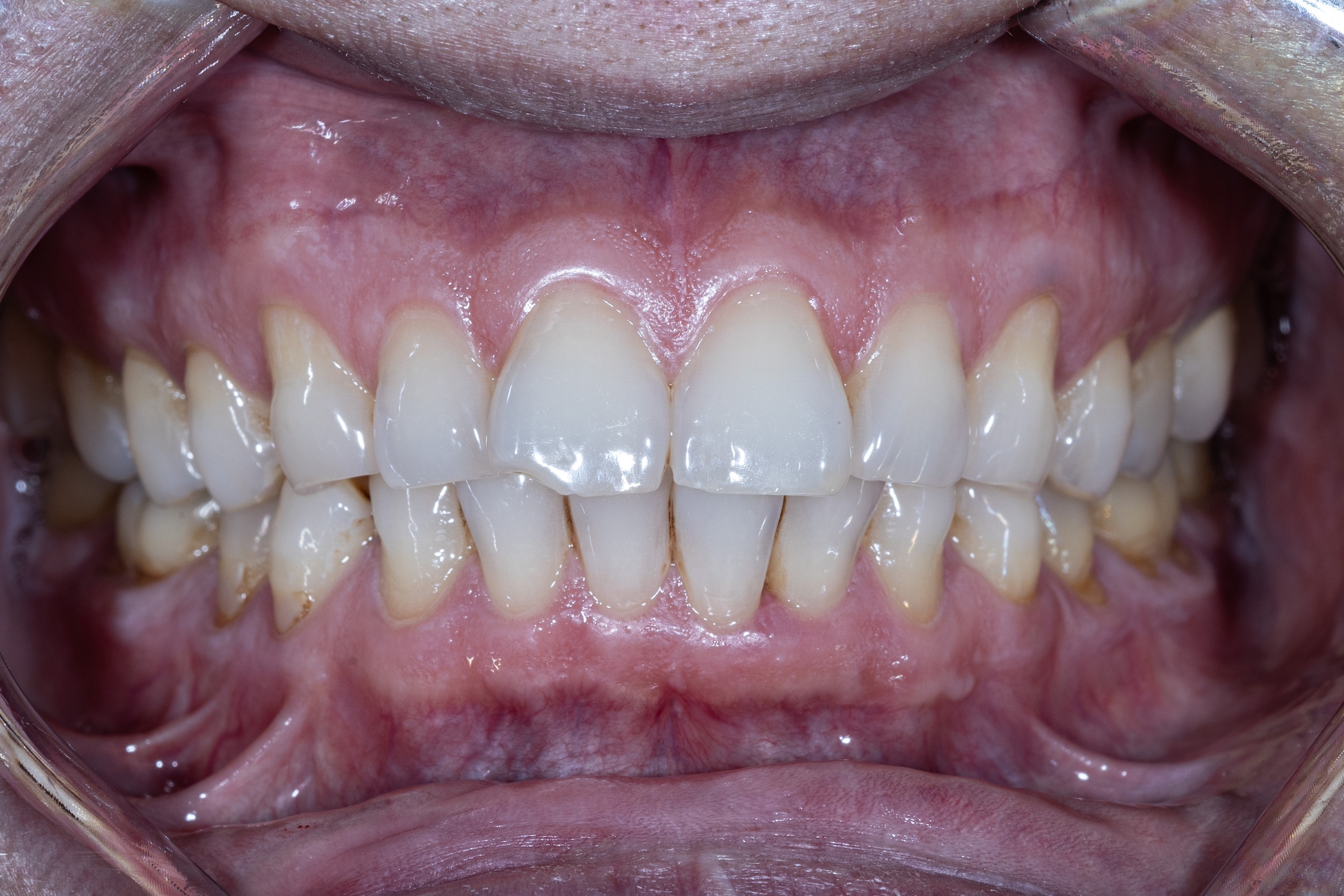
Before
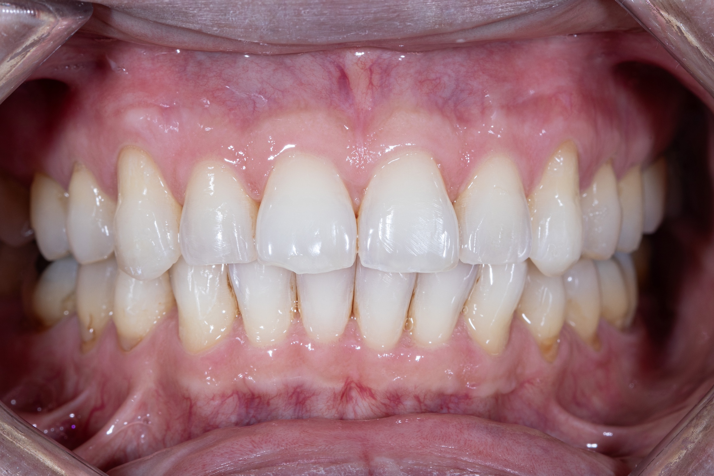
After
術前評估
- 齒列排列不整,牙弓偏窄
- 咬合接觸不均,後牙支撐不足
- 下顎位置偏後,口咽空間受限
- 夜間磨牙,顯示咬合與肌肉代償
- AHI:24.9(中度阻塞型睡眠呼吸中止症)
- 長期過敏史(20–30 年)
- 夜間磨牙、白天精神不佳



治療計畫
第一階段|隱適美矯正(結構優化)
目標:增加口腔有效空間 × 建立穩定咬合
- 調整齒列排列
- 優化牙弓形態
- 改善舌體與牙弓空間比例
- 降低呼吸道受限風險
第二階段|客製止鼾牙套(MAD)
目標:在穩定結構上提升夜間呼吸品質
- 依矯正後咬合重新掃描製作
- 精準設定前移量
- 兼顧效果與顳顎關節舒適度
- 建立夜間配戴與白天回復機制
第三階段|長期追蹤管理
- 定期監測咬合穩定度
- 鼻呼吸與舌位功能訓練
- 追蹤睡眠品質與打呼改善程度

