一般人通常會將矯正與年輕健康的牙齒聯想在一起。然而事實上,相當大比例需要矯正治療的人都患有不同嚴重程度的牙周病。那麼問題來了,患有牙周病的牙齒能進行矯正治療嗎?如果可以,傳統牙套和隱形矯正哪一種更合適?接下來讓我們進一步了解牙周病與矯正之間的關係。
了解牙周病與其治療
牙周病是一種由口腔中細菌引起的慢性發炎疾病,會影響牙齦和其他支撐牙齒的結構,例如齒槽骨。牙周疾病一開始只是「牙齦炎(gingivitis)」,細菌的感染與發炎只影響到表面的牙齦,這時的症狀是牙齦發紅、腫脹且容易出血。如果不及時治療,細菌的破壞與發炎就會蔓延至比較深處,變成「牙周炎(periodontitis)」,一種更嚴重的牙齦疾病;這種情況下,牙齒周圍的骨頭開始被破壞,最後導致缺乏骨頭的支撐,牙齒可能會開始鬆動甚至掉落。
牙周病的治療分為四個階段:
-
牙周病第一階段治療(非手術治療):牙結石刮除
牙結石和牙菌斑是牙周病的主因,牙結石刮除術可以減輕牙周發炎問題,促進牙齦癒合,並防止病情進一步惡化。
-
牙周病第二階段治療(手術治療):牙齦移植、骨移植以及植牙
手術重建通常在牙周病已經對牙齒和骨頭造成嚴重損害的情況下進行,以修復或重建受損的組織。
-
牙周病第三階段治療(咬合治療):咬合調整與牙齒矯正
許多會有牙周病的人就是因為原本牙齒太亂難以清潔,最後才導致牙周病。一旦牙周病得到控制,應該要考慮做牙齒矯正將牙齒排整齊;此外,牙齒亂與咬合不良會導致許多「咬合干擾」,這些破壞性的咬合力會讓原本就已經喪失地基的牙齒更容易受傷斷裂,或加劇牙周的破壞。因此,牙齒矯正可以有容易清潔、改善美觀與減少咬合傷害的三大好處。
-
牙周病第四階段治療(保養維護):定期檢查維持牙周健康
定期的口腔檢查和遵循專業醫師建議有助於確保治療的成功,並維護口腔長期的健康。
牙齒矯正治療和牙周病能共存嗎?
一直以來,牙周病的存在被認為是矯正的禁忌,因為人們認為在發炎的牙周組織中移動牙齒可能會加重炎症並導致進一步骨頭流失。然而,最近的研究顯示,在牙周病得到良好控制後,可以安全地對進行矯正治療。
多項研究報告指出,矯正治療可以從降低咬合傷害來增進牙周病牙齒的健康,因為牙齒矯正加上電腦咬合調整可以有效解決咬合不正(malocclusion)與咬合干擾(occlusal interference)問題。因此,在牙齒矯正其實是牙周治療的重要一環。
隱形牙套與傳統牙套:哪種更適合患有牙周病的患者?
有牙周病的患者如要考慮做牙齒矯正,隱形牙套可能比傳統牙套更具優勢。
隱形牙套和牙周健康
透明牙套可以取下,方便患者在治療期間刷牙和使用牙線,這有助於保持良好的口腔衛生。美國國家衛生研究院發現,相較於接受傳統牙套治療的患者,使用透明牙套矯正的患者在牙菌斑指數、牙周囊袋探測深度和牙齦指數等方面表現更好。此外,患者有較低的牙周病原細菌生長和炎症風險,可進一步促進牙周健康。
傳統牙套和牙周健康
傳統矯正的矯正器和矯正線的清潔難度較高。研究顯示,配戴傳統牙套的患者往往具有更高的牙菌斑指數,也更容易有牙齦炎症,這可能會加劇牙周病。然而,不要誤會了,配戴傳統牙套仍然可以保持良好的口腔衛生,也有許多患者在治療期間未遇到明顯的牙周問題。
牙周病做矯正會導致牙齦萎縮嗎?
根據美國國家衛生研究院的研究,配戴透明牙套相對於傳統牙齒矯正,較少出現牙齦退縮等問題。然而,需要注意的是每位患者的情況各異,治療效果可能因人而異。牙齦退縮的發生與多種因素有關,包括個人口腔衛生習慣、牙齒位置和矯正治療的具體方案等。因此,在進行矯正治療前,仍建議患者與牙醫進行詳細的諮詢和評估,以確定最適合的治療方案,並維持良好的口腔衛生習慣,以最大程度地保護牙齦健康。
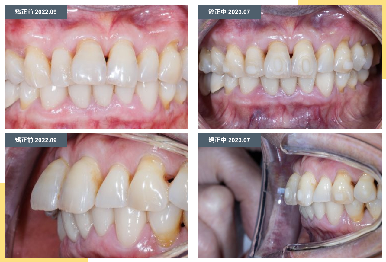
案例

圖:這位七十幾歲的女性,在進行牙周病第一階段治療後開始配戴隱適美牙齒矯正至第十個月的照片。可以看到隱形牙套逐漸縮小門牙暴牙的情況,而且她的牙齦並未出現更近一步萎縮的情況,而原本輕微的牙根裸露情況也沒有惡化。
本案例充分證明了隱形牙套在保護牙齒結構和牙周組織方面的優勢。即使在七十歲有牙周問題的人,也能夠安全地進行隱適美治療。
總結
傳統上牙周病被認為是牙齒矯正的禁忌,但最近的研究表明,透過預先經由電腦設計的矯正治療計畫(隱適美Clinical Check) ,牙周病患者仍可以安全地進行矯正治療。
隱形牙套由於其可拆卸及容易清潔的特性,對於患有牙周病的患者可能是一個更適合的選擇。然而,治療選擇應該根據患者的特定情況,包括牙周健康狀態、治療需求和個人偏好來做出。對於患有牙周病的患者,建議在進行牙齒矯正治療之前,應多尋求牙科專業醫師的建議和評估。
參考文獻: